Gruźlica - przyczyny i objawy. Jak leczyć gruźlicę?
- Publikacja:
- 2019-11-13 14:03
- Aktualizacja:
- 2025-06-03 14:20
Gruźlica to jedna z chorób zakaźnych, na którą choruje duża liczba osób w krajach rozwijających się. Wywoływana jest przez bakterie Mycobacterium tuberculosis, które często nazywane są też prątkami Kocha, na cześć ich odkrywcy. Gruźlica powoduje stopniowe wyniszczenie organizmu, któremu towarzyszy kaszel, często z dodatkiem krwi. W tym artykule dowiesz się, jakie są objawy i jak leczy się gruźlicę.
Artykuł rekomendowany przez:

Przyczyny zakażenia gruźlicą
Do zakażenia prątkami Kocha zwykle dochodzi drogą kropelkową. Ryzyko zachorowania wzrasta wraz z długością i bliskością kontaktu z prątkującą osobą, dlatego osoby w tym etapie choroby powinny być odizolowane od otoczenia. Zdarzają się jednak przypadki, w których do zakażenia dochodzi przez kontakt ze skórą na przykład chorych zwierząt, ponieważ jest to choroba odzwierzęca. Zakażenie prątkami tylko w małej ilości przypadków prowadzi do zachorowania, zależy to od stanu odporności organizmu, dlatego warto wspierać nasz układ immunologiczny. Bakterie Mycobacterium tuberculosis charakteryzują się dużą odpornością na niekorzystne warunki środowiska, przy odpowiedniej wilgotności i bez dostępu do promieni słonecznych mogą przetrwać od kilku miesięcy do kilkunastu lat i nawet po tym czasie wywołują gruźlicę.
Gruźlicę można podzielić na płucną, która jest najczęstszą postacią tej choroby oraz i pozapłucną, w kiedy prątki atakują inne narządy organizmu. Choroba może toczyć się równocześnie w kilku różnych narządach pod postacią gruźlicy wielonarządowej. Sama pozapłucna postać gruźlicy nie jest zaraźliwa, jednak często współwystępuje wraz z gruźlicą płucną, która już przenosi się pomiędzy ludźmi. Na szczególnie zwiększone ryzyko zachorowania na gruźlicę narażone są osoby z zaburzeniami funkcjonowania układu odpornościowego, małe dzieci i osoby starsze, bezdomni oraz osoby niedożywione.
Objawy gruźlicy
Gruźlica może wystąpić w postaci utajonej, w której nie występują żadne objawy oraz nie widać żadnych niepokojących zmian w obrazie radiologicznym. Jeśli dojdzie do zakażenia prątkami charakterystyczne objawy występują u małej liczby chorych. Gruźlica rozwija się stopniowo.
Do najczęstszych objawów gruźlicy należą:
- przewlekły kaszel, często z krwistą plwociną
- osłabienie organizmu
- nocne poty
- stan podgorączkowy lub niska gorączka
- utrata masy ciała
- zmęczenie.
Jak rozpoznać gruźlicę?
Rozpoznanie gruźlicy można stwierdzić na podstawie wyników kilku badań: testu tuberkulinowego, diagnostyki mikrobiologicznej lub badania radiologicznego płuc.
Próba tuberkulinowa polega na wstrzyknięciu śródskórnie do przedramienia tuberkuliny, czyli białka, które jest pozyskiwane z hodowli prątków gruźlicy. Po trzech dobach za pomocą specjalnej linijki mierzony jest powstały zaczerwieniony okrąg, a od jego wielkości zależy wynik testu. Próba ta może być fałszywie dodatnia na przykład w przypadku wcześniejszego zaszczepienia się szczepionką przeciw gruźlicy, jak i fałszywie ujemna u osób z nieprawidłowym funkcjonowaniem układu immunologicznego.
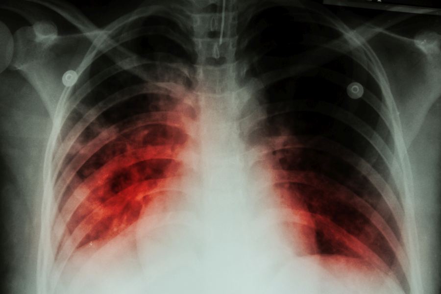
W zaawansowanej postaci gruźlicy występują zmiany gruźlicze w płucach, które są widoczne na zdjęciach radiologicznych klatki piersiowej.
Ostatecznym potwierdzeniem choroby jest diagnostyka mikrobiologiczna.
Jak leczyć gruźlicę?
Leczenie gruźlicy składa się z dwóch etapów:
- fazy intensywnego leczenia - która trwa zwykle 2 miesiące
- fazy kontynuacji leczenia - która trwa około 4 miesiące.
Całkowite wyleczenie gruźlicy jest możliwe w większości przypadków, ale czas trwania leczenia wynosi kilka miesięcy, a podczas terapii leki powinny być przyjmowane do końca fazy kontynuacji leczenia, pomimo ustąpienia objawów. Przez cały czas trwania leczenia chory powinien znajdować się pod nadzorem lekarza.
Osoby w stadium prątkowania powinny być izolowane od innych osób i mają obowiązek leczenie w warunkach szpitalnych, ponieważ w tym stadium choroby dochodzi do zarażenia innych osób.
Do najczęściej stosowanych substancji w leczeniu gruźlicy należą: ryfampicyna, izoniazyd, etambutol, pirazynamid i wiele, wiele innych. Leczenie gruźlicy w Polsce jest bezpłatne dla wszystkich obywateli.
Autor
Redakcja ktomalek.pl - Zespół redakcyjny KtoMaLek.pl tworzą doświadczeni farmaceuci, którzy specjalizują się w różnych obszarach tematyki zdrowotnej. Doświadczenie zdobyte w zawodzie oraz wiedza uzyskana podczas studiów farmaceutycznych, pozwalają na tworzenie merytorycznych treści zgodnych z EBM (and. Evidence-based Medicine), opartych na rzetelnych źródłach — aktualnych badaniach naukowych, branżowych podręcznikach i książkach. Za praktyką podążają również pasja i niesłabnąca chęć do poszerzania wiedzy oraz dzielenia się nią z pacjentami. Dzięki temu użytkownicy otrzymują dostęp do ciekawych i angażujących materiałów edukacyjnych.





